La colla a caldo per incollare le ossa rotte e ridurre i tempi di recupero: cosa dicono gli scienziati del prototipo elaborato in Sud Corea

Può sembrare un attrezzo da bricolage, e invece è entrato nei laboratori di ricerca medica come possibile strumento per la chirurgia ortopedica. Una pistola per colla a caldo, modificata per funzionare a temperature più basse e caricata con un materiale che imita la composizione delle ossa, è al centro di uno studio pubblicato sulla rivista Device. L’idea non nasce dal nulla: oggi le fratture rappresentano un’emergenza sanitaria globale, alimentata dall’invecchiamento della popolazione e dall’aumento delle malattie che indeboliscono lo scheletro, come l’osteoporosi.
Secondo l’Organizzazione Mondiale della Sanità, ogni anno si registrano circa 178 milioni di nuovi casi nel mondo, con un incremento del 33% rispetto al 1990. Dietro questi numeri ci sono settimane di immobilità, interventi chirurgici complessi, costi elevati per i sistemi sanitari e il rischio concreto di perdita di autonomia per milioni di persone, soprattutto anziani. È in questo scenario che una tecnologia semplice e a basso costo, capace di accelerare la riparazione ossea direttamente in sala operatoria, accende l’interesse della comunità scientifica.
Un collante che imita le ossa

Il cuore dell’innovazione non è tanto lo strumento in sé, quanto il materiale che viene depositato. Non è una comune colla sintetica, ma una miscela studiata per assomigliare alla composizione dell’osso umano. Uno dei suoi ingredienti principali è l’idrossiapatite, un minerale naturale che costituisce circa la metà del volume delle nostre ossa e che conferisce loro durezza e resistenza. L’altro elemento è il policaprolattone, un tipo di plastica biodegradabile che appartiene alla famiglia dei polimeri, cioè sostanze formate da lunghe catene molecolari. Questo materiale fonde a temperature relativamente basse, intorno ai 60 gradi, abbastanza da renderlo modellabile ma non così alte da provocare danni ai tessuti circostanti.
Una volta riscaldata nella pistola, la miscela viene depositata direttamente nella parte da riparare. Raffreddandosi in pochi minuti, si solidifica e riempie il vuoto lasciato da un trauma o da un intervento chirurgico, creando una sorta di impalcatura temporanea. È proprio questa impalcatura che permette alle cellule ossee di ancorarsi, proliferare e ricostruire gradualmente la parte mancante. A differenza dei cementi ossei tradizionali, che sono materiali inerti e restano all’interno del corpo senza integrarsi, questo composto è pensato per biodegradarsi progressivamente, lasciando spazio al tessuto naturale che, col tempo, lo sostituisce in maniera fisiologica.
Più osso meno infezioni: i risultati dello studio

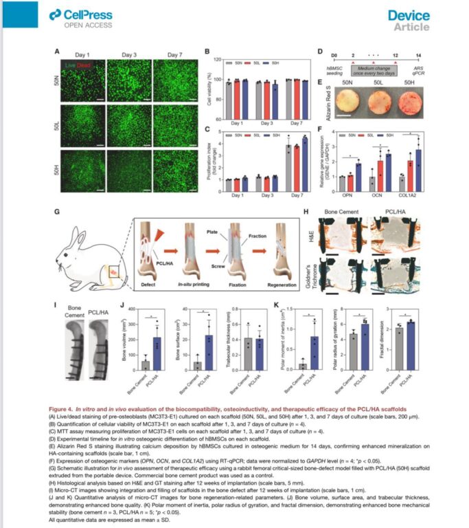
Per verificare l’efficacia della loro “colla ossea”, i ricercatori guidati da Jung Seung Lee hanno condotto test preclinici su modelli animali, ricostruendo difetti di circa un centimetro nel femore. Dopo dodici settimane, le analisi hanno mostrato un dato significativo: il volume osseo rigenerato era in media del 57,9% nei modelli trattati con la pistola, più che raddoppiato rispetto al 23,9% osservato con il cemento osseo tradizionale, che rappresenta ancora oggi uno degli standard in ortopedia.
Anche la densità del tessuto ricostituito è risultata superiore: 0,42 grammi per centimetro cubo contro 0,21 grammi per centimetro cubo nei controlli. Gli impianti si sono integrati in modo stabile con il tessuto circostante e non sono emersi segni di infiammazione cronica o di rigetto.
L’impatto sui rischi post operatori
Oltre alla ricostruzione strutturale, la tecnologia è stata pensata per ridurre i rischi post-operatori. La miscela, infatti, può essere arricchita con antibiotici che vengono rilasciati gradualmente nel punto esatto dell’intervento. Nella sperimentazione sono stati utilizzati vancomicina (5% in peso) e gentamicina (2% in peso), due principi attivi di largo uso in chirurgia ortopedica, che hanno dimostrato di diffondere lentamente per diverse settimane, offrendo una protezione locale costante. Come scrivono gli autori nello studio: «L’impianto non solo ha mostrato una rigenerazione ossea superiore, ma ha anche fornito un’efficace barriera contro le infezioni grazie al rilascio controllato di antibiotici».
I ricercatori sottolineano anche la stabilità del materiale nel tempo: «Non abbiamo osservato segni di delaminazione o separazione tra l’impianto e l’osso nativo», si legge nell’articolo, «e l’interfaccia si è mantenuta solida per tutta la durata del periodo di osservazione».
Secondo i dati riportati, non sono state registrate complicanze locali in nessuno dei 12 conigli trattati, mentre nel gruppo di controllo con cemento osseo due animali hanno mostrato segni di microfratture secondarie. Un risultato che, secondo gli autori, conferma il potenziale della miscela come “impalcatura temporanea” capace di guidare la rigenerazione naturale senza compromettere l’integrità meccanica dell’osso.
Come curiamo le ossa oggi?

Quando si deve riparare un osso danneggiato in modo grave, i chirurghi hanno oggi a disposizione diverse opzioni, ognuna con vantaggi e limiti. La soluzione più utilizzata e considerata a lungo lo standard di riferimento è l’innesto autologo, cioè il prelievo di un frammento di osso dallo stesso paziente — spesso dal bacino — e il suo trasferimento nella zona da ricostruire. Questo approccio è molto apprezzato perché porta con sé cellule vive, fattori di crescita e una matrice naturale che stimolano la rigenerazione. Ha però un costo elevato in termini chirurgici: richiede un secondo intervento, aumenta i tempi in sala operatoria e comporta rischi aggiuntivi di dolore o complicazioni nel sito di prelievo.
Un’alternativa è l’innesto omologo, che utilizza osso proveniente da donatori e conservato in apposite banche dell’osso. In questo caso si evita un nuovo prelievo al paziente, ma il tessuto impiantato non sempre si integra rapidamente e in maniera completa. Poi ci sono i cementi ossei, materiali sintetici che vengono colati nella frattura: garantiscono un riempimento immediato e una buona stabilità meccanica, ma restano sostanze inerti, incapaci di trasformarsi in osso vivo. Inoltre durante l’indurimento sviluppano calore, con un rischio potenziale per i tessuti circostanti.
Negli ultimi anni si è diffuso anche l’uso della stampa 3D, che permette di progettare e realizzare impalcature su misura per il singolo paziente. Si tratta di strutture porose e leggere che possono guidare la crescita del nuovo tessuto osseo. Il limite, però, è nei tempi: servono scansioni dettagliate, progettazione digitale, fabbricazione in laboratorio e sterilizzazione. Un processo che può durare anche una o due settimane, e che quindi si adatta a operazioni programmate, ma non a situazioni di emergenza.
Il ruolo della pistola a caldo
È qui che si colloca la nuova “pistola a colla” sviluppata dal team coreano. Lo strumento permette di intervenire direttamente durante l’operazione, depositando il biomateriale nel difetto osseo e modellandolo sul momento, senza attese. In questo modo si colmano cavità irregolari in pochi minuti, si crea un’impalcatura temporanea che le cellule ossee possono colonizzare e, allo stesso tempo, si possono rilasciare farmaci come antibiotici proprio nel punto più a rischio di infezione.
Naturalmente restano aperte molte sfide: la resistenza del materiale in ossa che devono sopportare carichi pesanti, il controllo fine della porosità (oggi meno preciso rispetto a quello garantito da una stampante 3D), la sicurezza termica dei 60 gradi di fusione, la degradazione graduale che deve andare di pari passo con la ricrescita naturale dell’osso. A queste si aggiungono questioni regolatorie, di costi e di standardizzazione clinica. Ma la semplicità della soluzione, un dispositivo simile a uno strumento da hobby che potrebbe diventare parte dell’arsenale chirurgico, è ciò che la rende così interessante agli occhi della comunità scientifica.
